علامات خطيرة تنذر بدودة الدماغ.. احترس من لحم الخنزير

صرح المرشح السابق للانتخابات الأمريكية روبرت كينيدي الابن قبل انسحابه من السباق الإنتخابي وإعلان تأييده المرشح الجمهوري دونالد ترامب، بأنه مصاب بدودة الدماغ منذ عقد من الزمن، وهو ما أثار قلق الناس حول هذه العدوى الطفيلية.
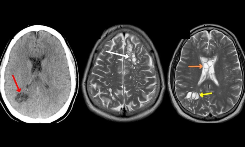
أعراض الإصابة بدودة الدماغ
وصرح الدكتور جراحة الأعصاب بيتسي غرونش، أن ديدان الدماغ هي عبارة عن طفيليات تصيب أجزاء من الأجسام، وفقا لما نشر في صحيفة نيويورك تايمز.
وأضافت غرونش، إلى أن دودة الدماغ هي أكثر شيوعًا دودة شريط لحم الخنزير، تينيا سوليوم (أو داء الكيسات العصبية)”.
وتابعت غرونش، أن الطريقة الأساسية لانتقال هذه الديدان لأدمغتنا هي عن طريق الخنزير لا سيما عندما يتم تناول لحم الخنزير النيء أو غير المطبوخ جيدا ما يسمح لهذه الدودة الشريطية بالدخول لأجسامنا.
وأفادت غرونش، إن دودة الدماغ لا يمكنها الانتقال إلى الدماغ لكن يرقاتها يمكنها ذلك، حيث تضع الدودة يرقاتها بمجرد دخولها للأمعاء مستخدمة أجسامنا كوسيط، وإذا لم يتم طرد البيض من أجسامنا من خلال البراز، فقد تنمو إلى يرقات.
وأشار غرونش، إلى أنه يمكن لهذه اليرقات أن تنتقل إلى أعضاء أخرى من خلال مجرى الدم، قد تنتقل هذه الديدان الشريطية أيضا من إنسان إلى آخر إذا كان لدى الشخص عادات غير صحية، مثل: عدم غسل يديه جيدًا بعد استراحة الحمام.
وأكدت غرونش، أن الجهاز الهضمي تظهر عليه أعراض الإصابة بالدودة الشريطية؛ حيث أن الإصابة بدودة الدماغ قد تصاحبه بعض الأعراض، وتشمل ما يلي:
ـ الإسهال
ـ آلام البطن
ـ فقدان الوزن
ـ الغثيان.
ـ نوبات من الصداع
وتابعت غرونش، أنه على الرغم من أن هذه العلامات تبدو وكأنها مجرد تسمم غذائي يمكن تخفيفه في غضون أيام، فإن الدودة الشريطية قد تصيب الدماغ بصمت لفترة طويلة.
وأوضحت غرونش، أنه “قد يستغرق ظهور أعراض دودة الدماغ شهورا إلى سنوات، حيث لا تظهر الأعراض عادة إلا بعد موت اليرقات، وعندما تظهر في الدماغ”.
ولفتت غرونش، إلى وجود اختبارات متقدمة للكشف عن داء الكيسات المذنبة العصبي، الذي يصيب الأطفال والبالغين على حد سواء، ولكنها شددت على أن الابتعاد عن لحم الخنزير النيء أو غير المطبوخ جيدا والتأكد من نظافة اليدين هما أفضل التدابير الوقائية للحد من الإصابة بدودة الدماغ.