مستشفى ١٥ مايو نجاح جديد بمجهودات إنجاز طبي جديد في قسم القلب

مستشفى ١٥ مايو النموذجي تتصدى المركز الأول بمجهودات إنجاز طبي جديد في قسم القلب
إنقاذ حياة مريض فى حالة حرجه بعد إصابته بجلطة قلبية حادة وتوقف عضلة القلب ” مستشفى ١٥ مايو ”
مصطفى مكى
نشرت وزارة الصحة والسكان على الصفحات الخاصه لها على السوشيال ميديا الفيس بوك ، نجاحات جديدة إنجاز طبي جديد في قسم القلب ، (مستشفى 15 مايو)، ” تحت رعاية وتوجيهات نائب رئيس مجلس الوزراء وزير الصحة والسكان الاستاذ الدكتور خالد عبدالغفار و توجيهات وخطه ” : الأستاذة الدكتورة ” مها إبراهيم ” رئيس أمانة المراكز الطبية المتخصصة الاستاذ الدكتور أحمد رزق نائب رئيس الأمانة ، الدكتور رومانى ثابت مدير عام مستشفى ١٥ مايو النموذجي ، وزارة الصحة والسكان ،محافظة القاهرة ، مستشفى 15 مايو .
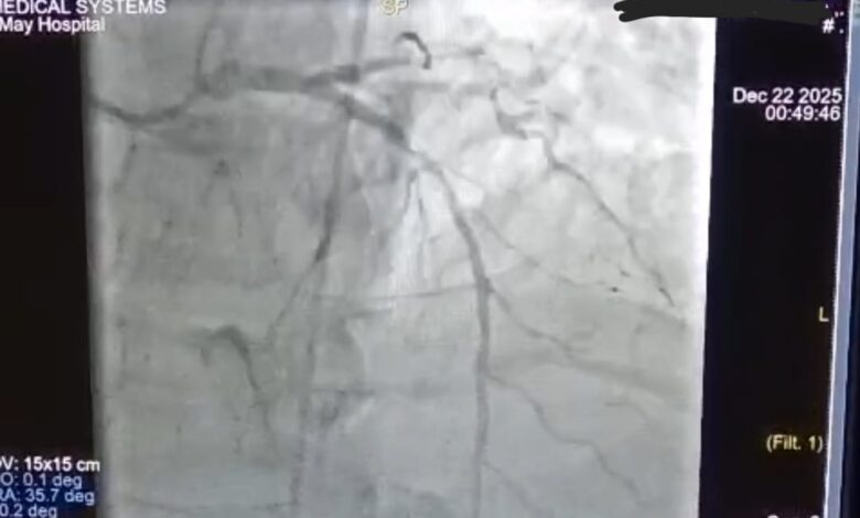
بكل فخر واعتزاز، تُعلن مستشفى ١٥ مايو النموذجي عن إنجاز طبي استثنائي ، نجح قسم القلب، برئاسة الأستاذ الدكتور أحمد جعفر، في إنقاذ حياة مريض كان في حالة حرجة بعد إصابته بـ:
جلطة قلبية حادة مكتملة بالشرايين التاجية نتج عنها توقف بعضلة القلب.
الإجراءات الطبية التي تم اتخاذها:
تم على الفور بقسم الطواريء بدأ الانعاش القلبي الرئوي وتركيب انبوبة حنجرية حتى تم استعادة النبض وسرعان ما تم تفعيل بروتوكول القسطرة القلبية الطارئة وتم نقل المريض إلى وحدة القسطرة القلبية وتم إجراء قسطرة لفتح الشريان الرئيسي وتركيب دعامتين دوائيتين.
الفريق الطبي والتمريضي المشارك:
الأستاذ الدكتور اشرف طلعت – استشاري القلب
الدكتور احمد بشير
الدكتور مصطفى مشرفي
الدكتور احمد سالم
الدكتور خالد عشري
م. حسن عيد
م. عبدالكريم محمد
م. عبد الرحمن محمد – اخصائي اشعه وتصوير طبي .
حاليا، المريض في حالة مستقرة ويخضع للمتابعة الدقيقة داخل وحدة رعاية القلب بفضل الجهود التكاملية بين جميع أعضاء الفريق الطبي.
نسأل الله الشفاء العاجل ل جميع المرضى.







